Best Option – Zoom Whitening in Brooklyn

Many people desire a bright, white smile. With numerous teeth whitening options available, it can be challenging to choose the best method. Zoom Whitening is a professional in-office treatment that offers fast and effective results. This article will explore why Zoom Whitening in Brooklyn is the best option for achieving a brighter smile, the procedure […]
Is a Dental Implant Treatment Better Than a Bridge?

Dental implants and bridges are two of the most popular options for replacing missing teeth. Both treatments aim to restore functionality and aesthetics, but they differ in terms of procedure, longevity, and overall benefits. In this article, we will compare dental implants and bridges to help you understand which treatment might be the better choice […]
Cosmetic Dentistry – Powerful Technology Can Give You Your Best Smile

A beautiful smile can boost your confidence and enhance your overall appearance. With advancements in cosmetic dentistry, achieving your best smile is now more accessible than ever. Modern technology has revolutionized dental treatments, making them more effective, efficient, and comfortable. This article will explore the various cosmetic dentistry technologies that can transform your smile, their […]
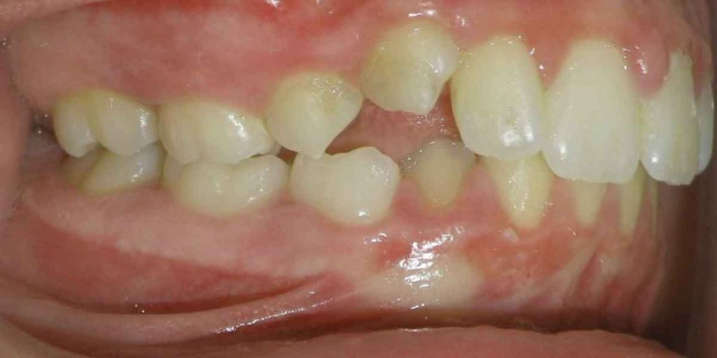
Top Questions About Early Orthodontic Evaluation

Early orthodontic evaluation is crucial in ensuring your child’s dental health and proper development. By identifying potential issues early, orthodontists can implement treatments that guide jaw and teeth growth, leading to healthier outcomes. This article will address parents’ top questions about early orthodontic evaluation, providing essential information to help you understand its importance and benefits. […]
Thumb Sucking: Break the Unhealthy Dental Habit
Thumb sucking is a common habit among infants and young children. While it is generally harmless in the early years, prolonged thumb sucking can lead to dental and developmental issues. Addressing this habit before it affects your child’s oral health and overall development is essential. In this article, we will explore the impact of thumb-sucking […]
Crooked Teeth? How We Can Help You Invisalign

Having crooked teeth can affect your confidence and oral health. Traditional braces are no longer the only solution available. Invisalign offers a modern, discreet, and effective way to straighten your teeth and achieve a beautiful smile. In this article, we will explore how we can help you with Invisalign, the benefits of this treatment, and […]
Top 3 Reasons You Shouldn’t Fear Root Canal Therapy

Root canal therapy is one of the most misunderstood dental procedures, often causing unnecessary fear and anxiety. However, modern advancements in dental technology and techniques have made root canal therapy a comfortable and highly effective treatment. This article will explore the top three reasons you shouldn’t fear root canal therapy and how it can benefit […]
Learn How Dental Implants Could Help Your Dental Health

Dental implants are a revolutionary solution for individuals with missing teeth. They offer a permanent, durable, and aesthetically pleasing option that can significantly improve dental health and overall quality of life. This article will explore how dental implants can benefit your dental health, the procedure involved, and how to care for them effectively. Understanding Dental […]
Tongue Tie Treatment – Pediatric Dentistry Brooklyn

Tongue tie, or ankyloglossia, is a condition present at birth that restricts the tongue’s range of motion. This condition occurs when the band of tissue (lingual frenulum) that connects the bottom of the tongue to the floor of the mouth is too short, tight, or thick. Tongue tie can interfere with breastfeeding, speech development, and […]
Teeth Whitening – an Incredible Look That’s Effective and Safe

A bright, white smile can enhance your appearance and boost your confidence. Teeth whitening is a popular cosmetic dental procedure that can effectively remove stains and discoloration, resulting in a stunning smile. However, it is crucial to choose safe and effective methods to avoid damaging your teeth and gums. In this article, we will explore […]